ホワイトニング
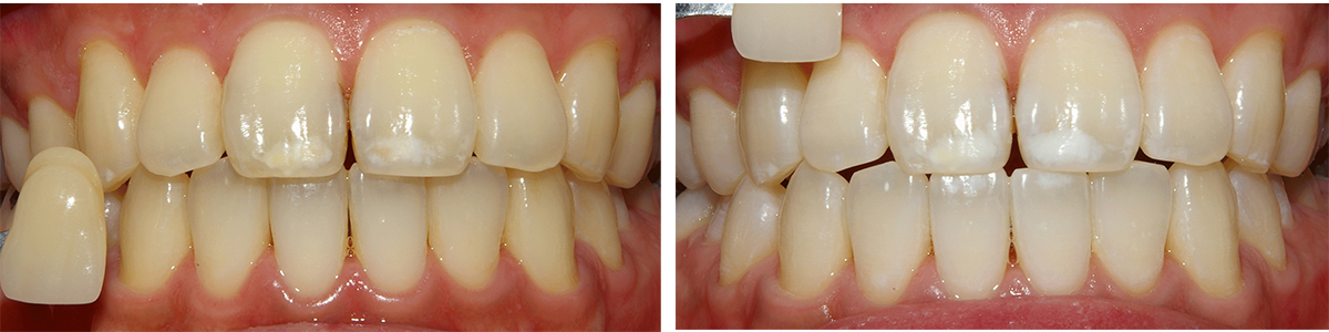
Case.01

パーフェクトコース(オフィス2回、ホームホワイトニング)を行いました。
特徴 | 歯を傷めず白くできる。セラミックに比べ安価に漂白可能。繰り返し施術できる。虫歯のリスクが下がる。 |
---|---|
リスク | 白さに限界がある。食品によって色が後戻りする。薬が染みる場合がある。1回で希望の白さにならない場合がある。 |
価格 | ¥33,000円 (オフィスホワイトニング 1回あたり) |
※全て税込価格
Case.02

ホワイトニングの症例です。オフィスホワイトニング後も、ご自宅で行っていただくホームホワイトニングを併用して、現在も明るい色を継続できています。
特徴 | 歯を傷めず白くできる。セラミックに比べ安価に漂白可能。繰り返し施術できる。虫歯のリスクが下がる。 |
---|---|
リスク | 白さに限界がある。食品によって色が後戻りする。薬が染みる場合がある。1回で希望の白さにならない場合がある。 |
価格 | ¥33,000円 (オフィスホワイトニング 1回あたり) |
※全て税込価格
Case.03

ホワイトニングと、前歯のオールセラミククラウンを組み合わせた症例です。
全体的に歯の色が明るくなり、真ん中の前歯にはその色に合った、綺麗な白いクラウンを被せることができました
特徴 | 歯を傷めず白くできる。セラミックに比べ安価に漂白可能。繰り返し施術できる。虫歯のリスクが下がる。 |
---|---|
リスク | 白さに限界がある。食品によって色が後戻りする。薬が染みる場合がある。1回で希望の白さにならない場合がある。 |
価格 | ¥33,000円 (オフィスホワイトニング 1回あたり) |
※全て税込価格